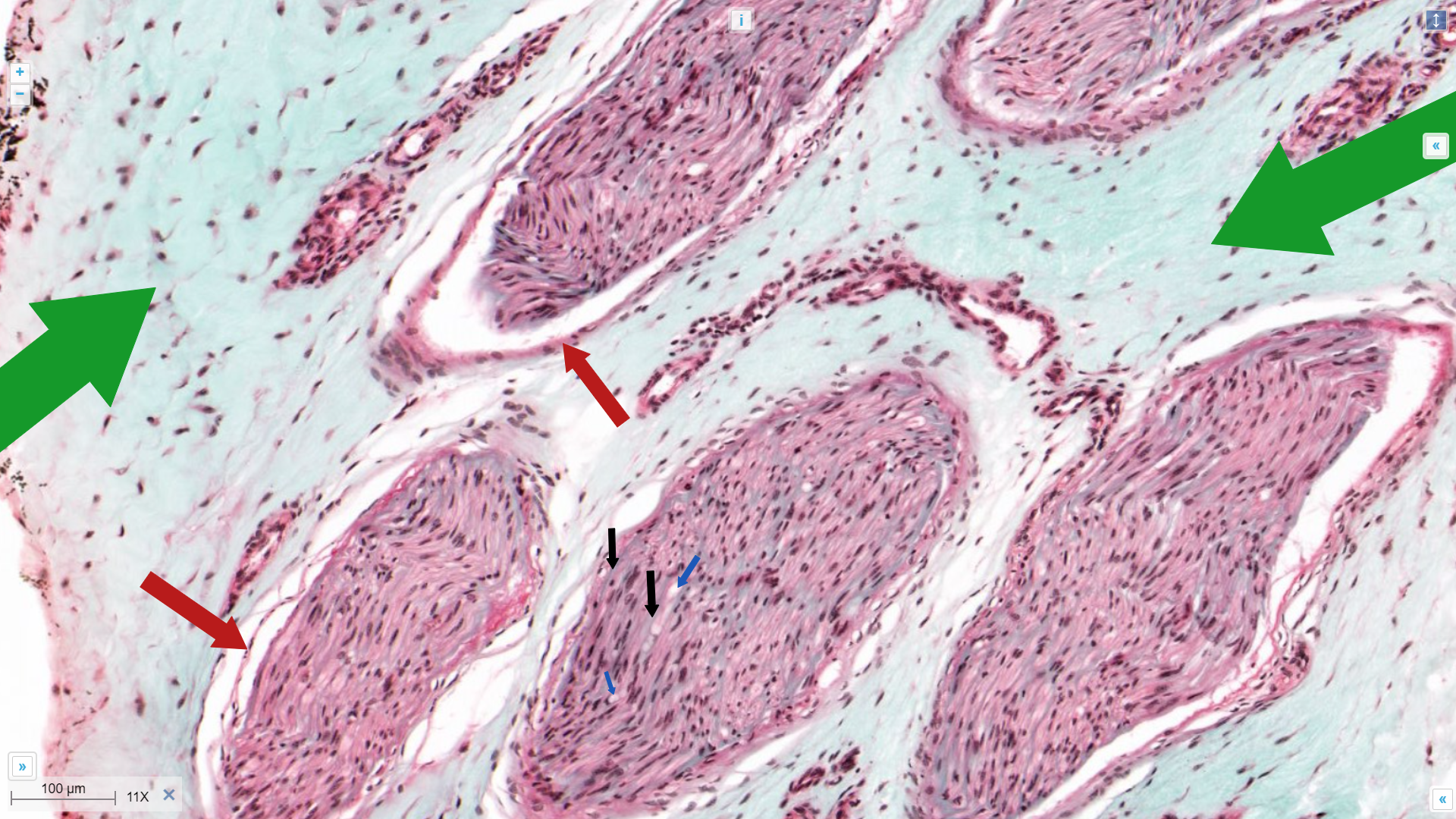
Vaat-zenuwstreng (trichroom-groen kleuring)

Preparaat:31
Species:kalf
Kleuring:trichroom-groen

Het histologisch preparaat toont een doorsnede doorheen een vaat-zenuw streng bestaande uit bindweefsel, zenuwbundels (rode pijl), een middelgrote spierarterie (zwarte pijl) en twee middelgrote venen (groene pijl).

Openen in volledig scherm


De middelgrote arterie is op zwakke vergroting te herkennen aan een dikke spierlaag. Bij hogere vergroting zijn drie lagen te onderscheiden:


De middelgrote venen zijn langs de arterie gelegen en bestaan uit dezelfde drie lagen (tunica intima (pijltje), tunica media (groene lijn) en tunica adventitia (rode lijn)). Maar er zijn kleine verschillen. De lamina elastica interna (zwart golvend lijntje) is niet zo zichtbaar, de tunica media is dunner, bevat meer collageen tussen de spiercellen en de lamina elastica externa is afwezig.


De zenuwbundels bestaan uit talrijke zenuwvezels. Deze worden eerst omringd door een dunne laag bindweefsel, het endoneurium (zwarte pijl), waarin kleine capillairen (blauw pijltje) voorkomen. Elke bundel wordt omgeven door het perineurium (rode pijl), een huls van dicht bindweefsel. Tussen de bundels wordt de ruimte gevuld door het epineurium (groene pijl), een dicht bindweefsel dat ook een beschermende laag rond de zenuwen vormt.