Epitheelweefsels

Epitheelweefsels zijn dekweefsels en liggen op de in- en uitwendige oppervlakken van een organisme (huid, darm, urinewegen, ...). Ze vormen dus de grens tussen een organisme en de buitenwereld. Epitheelweefsels kunnen verschillende functies uitoefenen naarmate de plaats waar ze aangetroffen worden: ze kunnen een beschermende functie hebben (vb. huid), ze kunnen een secreterende functie hebben (vb. nierbuisjes) of ze zorgen voor de opname van stoffen (vb. darmepitheel). Morfologisch bestaan epithelen uit nauw aan elkaar gesloten cellen. Vaak bestaan er speciale celcontacten tussen de cellen. Epitheelcellen vertonen soms ook specialisaties van het celoppervlak onder de vorm van trilharen (cilia) of van staafjes (microvilli). Alle epithelia rusten op een basale membraan, een dunne acellulaire laag, rijk aan collageen waaraan proteoglycanen en glycoproteïnen geassocieerd zijn.

Naargelang de vorm en de rangschikking van de samenstellende cellen worden verschillende types epithelen onderscheiden:

Eénlagig epitheel


Eénlagig plaveiselepitheel (zwarte pijl):

Openen in volledig scherm


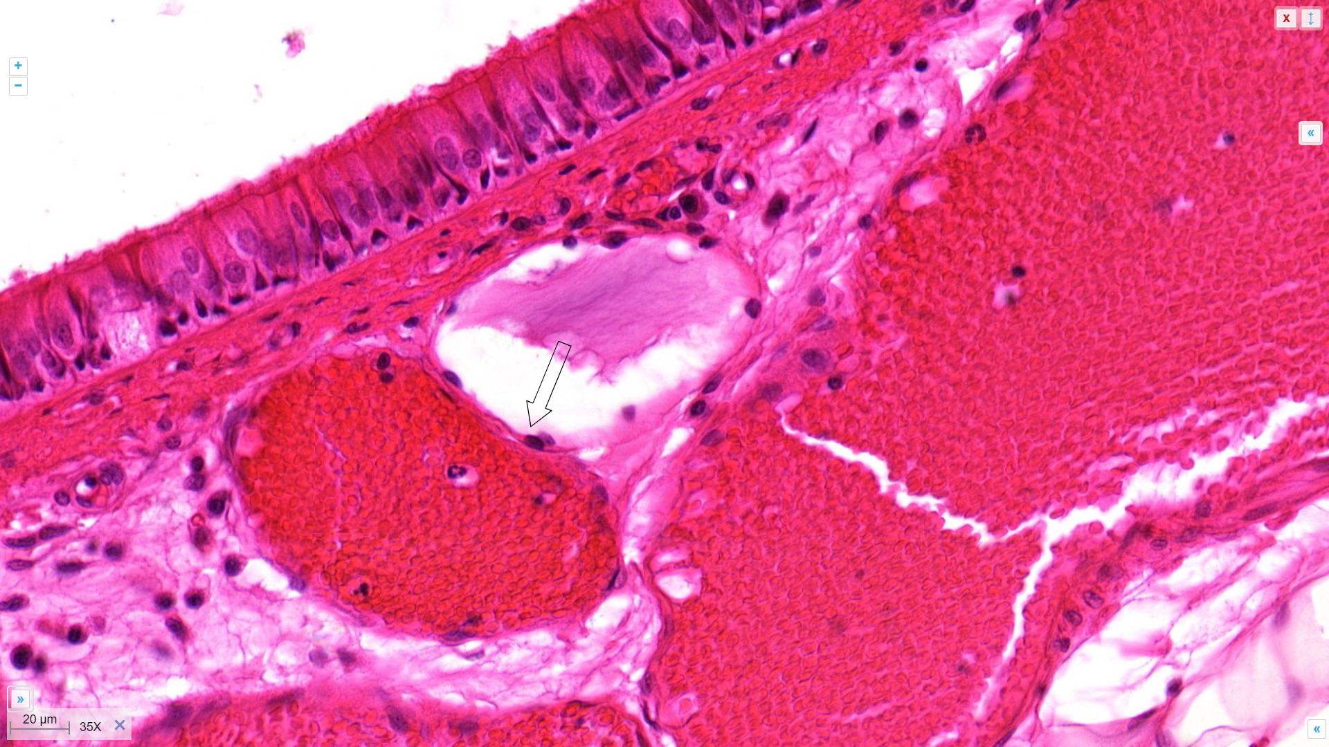
Eénlagig kubisch epitheel (pijl):

Openen in volledig scherm


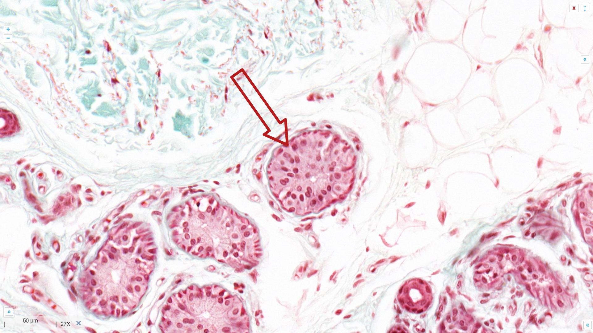
Eénlagig cilindrisch epitheel (rode pijl):

Openen in volledig scherm


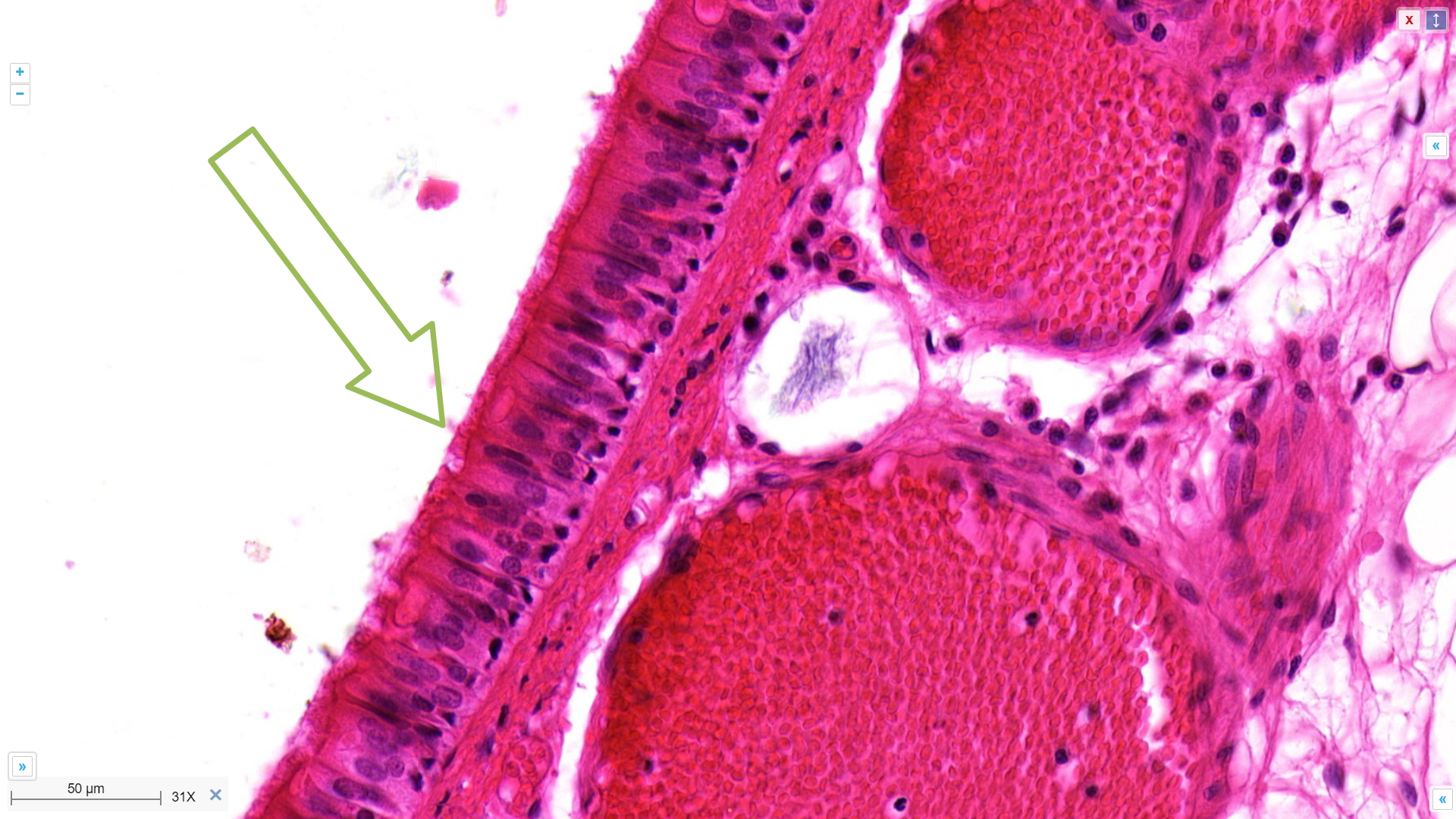
Meerrijig of pseudomeerlagig cilindrisch epitheel (pijl):

Openen in volledig scherm

Meerlagig epitheel


Meerlagig gekeratiniseerd of verhoornd plaveiselepitheel (zwarte lijn):

Openen in volledig scherm


Meerlagig kubisch epitheel (rode pijl):

Openen in volledig scherm


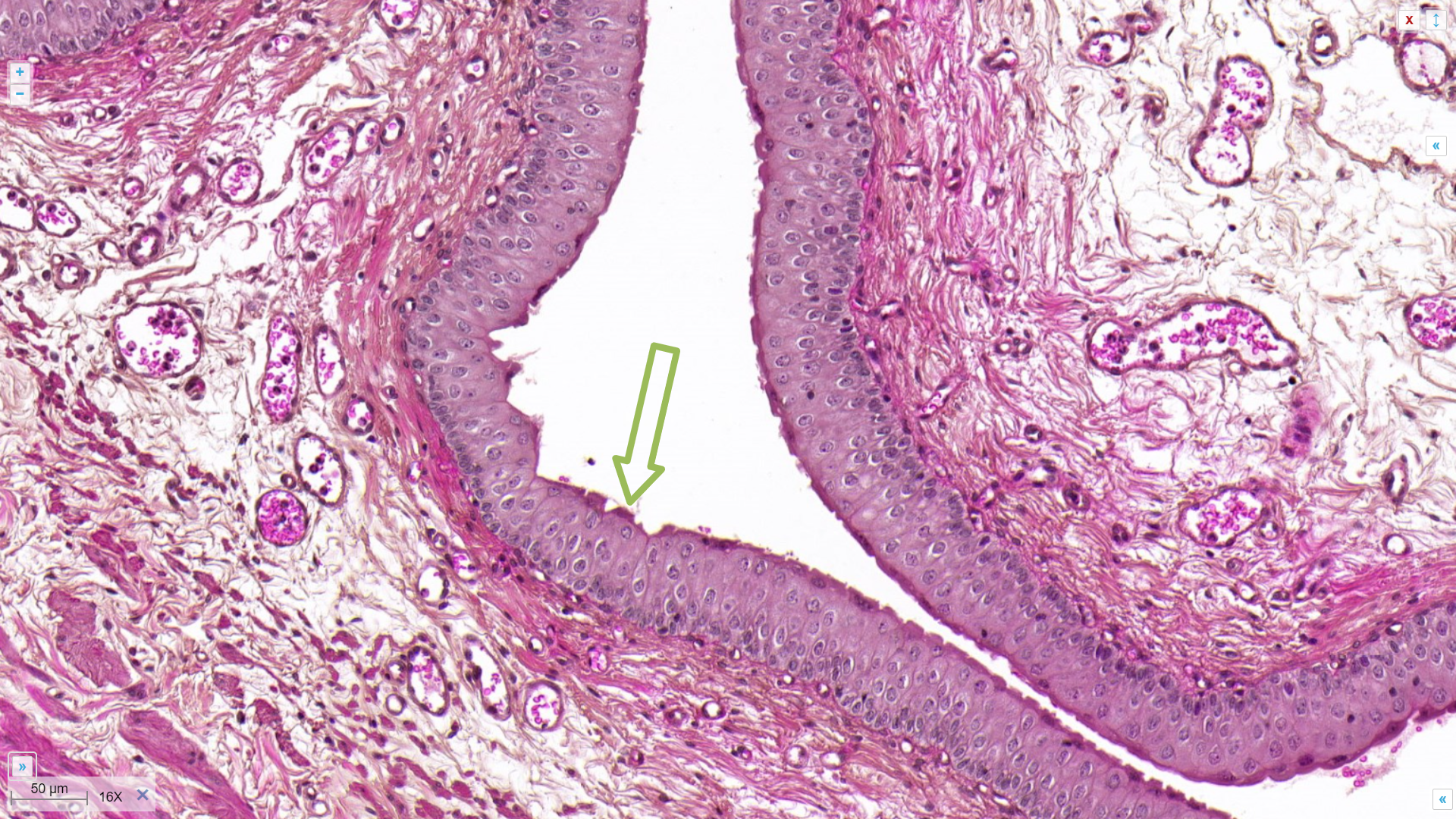
Meerlagig overgangsepitheel (pijl):

Openen in volledig scherm